فیستول انتهای ستون فقرات

فیستول انتهای ستون فقرات: گروه ارتوپدی سامان مفتخر است که این مقاله را که در واحد تولید محتوای این گروه تهیه شده است، به شما عزیزان تقدیم کند. بررسی دقیق این بیماری میپردازد و اطلاعات کاملی در مورد علل، علائم، تشخیص و راههای درمان آن ارائه میدهد. با ما همراه باشید تا به دنیای فیستول […]
بیماری های ستون فقرات

در این مقاله، با انواع بیماری های ستون فقرات، علائم و نشانههای هشدار دهنده، روشهای تشخیصی پیشرفته، و راهکارهای درمانی نوین آشنا خواهید شد. هدف ما ارائه اطلاعاتی جامع و قابل فهم است تا بتوانید با آگاهی کامل در مسیر پیشگیری، تشخیص و درمان گام بردارید. پس با ما همراه باشید در این سفر علمی […]
تفاوت دیسک کمر با روماتیسم ستون فقرات

تفاوت دیسک کمر با روماتیسم ستون فقرات دیسک کمر و روماتیسم ستون فقرات، دو بیماری شایع هستند که هر دو میتوانند دردهای طاقت فرسایی را در ناحیه کمر ایجاد کنند. اما آیا این دو بیماری یکسان هستند؟ قطعا خیر! در این مقاله، با بررسی دقیق تفاوتهای این دو بیماری، به شما کمک میکنیم تا از […]
منوال تراپی چیست

اگر از دردهای مزمن عضلانی یا محدودیت حرکتی رنج میبرید، روشهای دستی درمانی میتوانند راهحل موثری باشند. منوال تراپی یکی از بهترین گزینههاست.برای اطلاع بیشتر با شماره 09106063586 تماس حاصل فرمایید. منوال تراپی چیست؟ درمانی مؤثر با دستان توانمند فیزیوتراپیست ✔ منوال تراپی چیست؟ منوال تراپی یا درمان دستی، یکی از شاخههای تخصصی فیزیوتراپی است […]
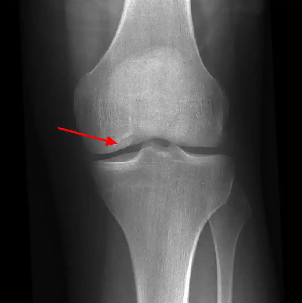
استئوکندریت چیست

اگر دردی مبهم و مزمن در مفاصل خود حس میکنید، ممکن است دچار یکی از اختلالات استخوان و غضروف شده باشید. استئوکندریت یکی از مهمترین آنهاست.جهت کسب مشاوره رایگان با شماره 09106063586 تماس حاصل فرمایید. استئوکندریت چیست؟ انواع، علائم و درمان این بیماری غضروفی ✔ انواع استئوکندریت استئوکندریت می تواند در مفاصل مختلف بدن رخ […]
بهترین غذا برای جوش خوردن استخوان

فرم مشاوره رایگان فرم رو پر کنید و از مشاوره پزشکی رایگان ما بهره مند شوید Twitter Linkedin Instagram Telegram در دوران شکستگی، تغذیه مناسب نقش کلیدی در ترمیم استخوان دارد. در این بخش، با بهترین غذاهای تقویتکننده جوش خوردن استخوان آشنا میشویدجهت کسب مشاوره رایگان با شماره 09106063586 تماس حاصل فرمایید. معرفی بهترین غذا […]
آیا دیسک کمر مانع بارداری می شود

آیا دیسک کمر مانع بارداری است؟ به طور کلی، دیسک کمر مانع بارداری نمیشود. با این حال، ممکن است علائم در بارداری تشدید شوند. مشورت با پزشک (متخصص کمر و زنان) قبل و در طول بارداری برای مدیریت وضعیت و بررسی تاثیر بر زایمان ضروری است تا بارداری سالمی داشته باشید. دیسک کمر و بارداری […]
ارتوپد چیست

برای کسب اطلاعات و رزو نوبت میتوانید به صفحه متخصصین سامان ارتوپد سر بزنید و یا با شماره 09106063586 در ارتباط باشید. ارتوپد چیست پزشکان و متخصصان ارتوپدی در سامان ارتوپد ✔ در سامان ارتوپد، تیمی از بهترین پزشکان و متخصصان ارتوپدی با تجربه و تخصص بالا فعالیت دارند که خدمات تشخیصی و درمانی پیشرفتهای […]
مراقبت های بعد از تزریق دیسکوژل

بعد از تزریق دیسکوژل، رعایت استراحت نسبی، پرهیز از فعالیتهای سنگین، مصرف داروهای تجویزشده و توجه به علائم غیرعادی برای تسریع روند بهبودی و جلوگیری از عوارض ضروری است.جهت کسب مشاوره رایگان با شماره 09106063586تماس بگیرید همه چیز درباره مراقبت های بعد از تزریق دیسکوژل مراقبتهای ضروری در 24 ساعت اول پس از تزریق دیسکوژل […]
آرتروز گردن و وزوز گوش

آرتروز گردن، نوعی ساییدگی و تخریب مفصل در ناحیه گردن است. ستون فقرات گردنی از مهره های متعدد و غضروف های بین مهره ای تشکیل شده است. غضروف ها نقش بالشتک را ایفا کرده و مانع از ساییدگی استخوان ها روی هم می شوند. اما با گذشت زمان و افزایش سن، غضروف ها خاصیت ارتجاعی […]