دررفتگی مفصل شانه: “صدایی تَرَق… دردی جانکاه… شانهای بیحرکت…” اگر تجربهی چنین حادثهای را داشتهاید، احتمالاً با کابوس دررفتگی مفصل شانه دست و پنجه نرم کردهاید.
خوشحالیم که امروز در واحد تولید محتوای گروه ارتوپدی سامان، مرجع تخصصی در زمینهی سلامت استخوانها و مفاصل، مهمان شما هستیم. در این مقاله، قصد داریم به طور کامل شما را با این آسیب شایع آشنا کنیم و هر آنچه که باید در مورد آن بدانید، از تشخیص و درمان تا پیشگیری، را در اختیارتان بگذاریم. پس اگر میخواهید بدانید که آیا درد شانهی شما نشانهی دررفتگی است یا خیر، و اگر هست چه باید کرد، با ما همراه باشید.
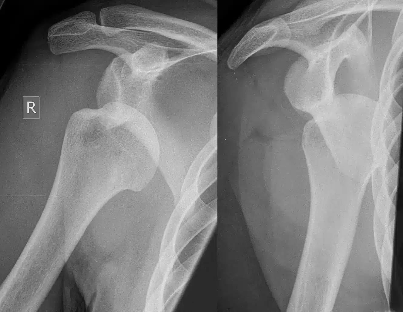
دررفتگی مفصل شانه چیست؟
دررفتگی مفصل شانه زمانی اتفاق میافتد که سر استخوان بازو (هومروس) از حفرهی گلنوئید کتف (اسکاپولا) خارج میشود. تصور کنید که توپی از داخل یک کاسه بیرون میپرد. دررفتگی شانه هم دقیقاً همین اتفاق است، اما با این تفاوت که توپ و کاسه در بدن ما قرار دارند.
انواع دررفتگی شانه
دررفتگی شانه به دو نوع اصلی تقسیم میشود:
- دررفتگی قدامی: در این نوع، سر استخوان بازو به سمت جلو از حفرهی گلنوئید خارج میشود و شایعترین نوع دررفتگی شانه است.
- دررفتگی خلفی: در این نوع، سر استخوان بازو به سمت عقب از حفرهی گلنوئید خارج میشود و کمتر شایع است.
عوامل خطرساز دررفتگی شانه
- سن: افراد جوان و فعال بیشتر در معرض دررفتگی شانه هستند.
- ورزشهای پرتحرک: ورزشهایی مانند فوتبال، راگبی، و هاکی احتمال دررفتگی شانه را افزایش میدهند.
- سابقهی دررفتگی: افرادی که قبلاً دررفتگی شانه داشتهاند، بیشتر در معرض تکرار این آسیب هستند.
- ضعف عضلات: ضعف عضلات اطراف شانه میتواند مفصل را ناپایدار کند.

دررفتگی مفصل شانه چیست؟
دررفتگی مفصل شانه (shoulder dislocation) به معنای خارج شدن سر استخوان بازو (humerus) از حفره گلنوئید کتف (glenoid) است. این اتفاق معمولاً در اثر ضربه یا زمین خوردن روی دست باز اتفاق میافتد و باعث درد شدید، محدودیت حرکتی، و تغییر شکل ظاهری شانه میشود. در ادامه به بررسی جزئیات این عارضه میپردازیم.
آناتومی مفصل شانه
مفصل شانه یک مفصل گوی و کاسهای است که بیشترین دامنه حرکتی را در بین مفاصل بدن دارد. این مفصل از سه استخوان تشکیل شده است:
- استخوان کتف (scapula): این استخوان یک صفحه مثلثی شکل است که در پشت قفسه سینه قرار دارد و دارای یک حفره به نام گلنوئید است.
- استخوان ترقوه (clavicle): این استخوان یک استخوان S شکل است که در بالای قفسه سینه قرار دارد و به کتف و جناغ سینه متصل است.
- استخوان بازو (humerus): این استخوان استخوان بلند بازو است که سر آن به شکل یک گوی است و در حفره گلنوئید کتف قرار میگیرد.
مفصل شانه توسط یک کپسول مفصلی احاطه شده است که مایع مفصلی را در خود نگه میدارد و باعث روان شدن حرکت مفصل میشود. همچنین، این مفصل توسط چندین رباط و عضله تقویت میشود که باعث پایداری و حرکت آن میشوند.
دررفتگی مفصل شانه: نگاهی دقیقتر
دررفتگی مفصل شانه معمولاً در اثر یک نیروی خارجی شدید ایجاد میشود که باعث میشود سر استخوان بازو از حفره گلنوئید کتف خارج شود. این نیرو میتواند در اثر ضربه مستقیم به شانه، زمین خوردن روی دست باز، یا کشش بیش از حد بازو به سمت بالا یا عقب باشد. دررفتگی شانه میتواند به صورت کامل (وقتی سر استخوان بازو کاملاً از حفره گلنوئید خارج شود) یا جزئی (وقتی سر استخوان بازو به صورت ناقص از حفره گلنوئید خارج شود) باشد.
دررفتگی شانه: زنگ خطری برای سلامتی شما
آیا شانهای دردناک و بیحرکت، نشانهی دررفتگی است؟ بله، دررفتگی شانه یک عارضهی جدی است که نیاز به توجه فوری پزشکی دارد. در صورت عدم درمان، میتواند عوارض جدی مانند آسیب به اعصاب، عروق خونی، و غضروف مفصل شانه را به دنبال داشته باشد.
علائم دررفتگی شانه: درد، تغییر شکل، و محدودیت حرکت
“دررفتگی شانه مثل زلزلهای است که نظم شانه را به هم میریزد.” علائم و نشانههای دررفتگی شانه عبارتند از:
- درد شدید: درد در شانه به حدی شدید است که ممکن است فرد را از حال ببرد.
- تغییر شکل ظاهری شانه: شانهی آسیب دیده در مقایسه با شانهی سالم ممکن است فرورفته یا بیرون زده به نظر برسد.
- محدودیت حرکت: فرد نمیتواند شانهی خود را حرکت دهد و هر گونه تلاشی برای حرکت دادن آن باعث درد شدید میشود.
- تورم و کبودی: در اطراف شانه ممکن است تورم و کبودی مشاهده شود.
- احساس بیحسی یا گزگز: در صورت آسیب به اعصاب شانه، فرد ممکن است احساس بیحسی یا گزگز در بازو یا دست خود داشته باشد.

دررفتگی مفصل شانه درد : شدت و مدیریت درد
آیا درد ناشی از دررفتگی شانه قابل تحمل است؟
درد ناشی از دررفتگی مفصل شانه بسیار شدید است و معمولاً نیاز به مصرف مسکنهای قوی دارد. این درد معمولاً در زمان آسیب دیدگی و پس از آن شدیدتر است و با گذشت زمان و درمان، کاهش مییابد.
تشخیص دررفتگی شانه: معاینه فیزیکی و تصویربرداری
چگونه میتوان مطمئن شد که شانه دررفته است؟
برای تشخیص دررفتگی شانه، پزشک ابتدا یک معاینه فیزیکی کامل انجام میدهد. در این معاینه، پزشک به شانهی آسیب دیده نگاه میکند، آن را لمس میکند، و دامنهی حرکتی آن را بررسی میکند. همچنین، پزشک ممکن است از شما سوالاتی در مورد نحوهی آسیب دیدگی و علائم شما بپرسد.
برای تأیید تشخیص و بررسی آسیبهای احتمالی دیگر، پزشک ممکن است از روشهای تصویربرداری مانند:
- رادیوگرافی (اشعه ایکس): این روش میتواند شکستگی استخوانها و دررفتگی مفصل را نشان دهد.
- ام آر آی (MRI): این روش میتواند آسیب به بافتهای نرم مانند رباطها، عضلات، و تاندونها را نشان دهد.
درمان دررفتگی شانه: جا اندازی و بیحرکتی
آیا دررفتگی شانه درمان دارد؟
بله، دررفتگی شانه قابل درمان است. هدف از درمان، برگرداندن سر استخوان بازو به حفرهی گلنوئید، کاهش درد و تورم، و جلوگیری از آسیبهای بیشتر است. درمان دررفتگی شانه معمولاً شامل موارد زیر است:
جا اندازی (Reduction)
جا اندازی به معنای برگرداندن سر استخوان بازو به حفرهی گلنوئید است. این کار معمولاً تحت بیهوشی یا بیحسی موضعی انجام میشود.
بیحرکتی (Immobilization)
پس از جا اندازی، شانهی آسیب دیده معمولاً با استفاده از یک آویز گردنی یا بانداژ بیحرکت میشود. مدت زمان بیحرکتی بستگی به شدت آسیب و سن بیمار دارد، اما معمولاً بین ۲ تا ۴ هفته است.
دارو درمانی (Medication)
برای کاهش درد و التهاب، ممکن است داروهای مسکن و ضد التهاب تجویز شود.
فیزیوتراپی (Physical Therapy)
پس از پایان دورهی
بیحرکتی، فیزیوتراپی برای بازیابی دامنهی حرکتی، قدرت، و انعطاف پذیری شانه شروع میشود.
جراحی (Surgery)
در موارد نادر، دررفتگی شانه ممکن است نیاز به جراحی داشته باشد. جراحی معمولاً در صورتی انجام میشود که:
- دررفتگی شانه به طور مکرر اتفاق بیفتد.
- آسیب به بافتهای اطراف شانه مانند رباطها، تاندونها، یا اعصاب وجود داشته باشد.
- دررفتگی شانه با شکستگی استخوان همراه باشد.

پیشگیری از دررفتگی شانه: تقویت عضلات و گرم کردن قبل از ورزش
پیشگیری همیشه بهتر از درمان است. برای کاهش خطر دررفتگی شانه، میتوانید اقدامات زیر را انجام دهید:
- تقویت عضلات شانه: با انجام تمرینات تقویتی، عضلات اطراف شانه را قوی کنید.
- گرم کردن قبل از ورزش: قبل از شروع هر گونه فعالیت ورزشی، حتماً بدن خود را گرم کنید و حرکات کششی انجام دهید.
- استفاده از تجهیزات ایمنی: در ورزشهایی که خطر آسیب به شانه وجود دارد، از تجهیزات ایمنی مانند محافظ شانه استفاده کنید.
- اجتناب از حرکات پرخطر: از انجام حرکاتی که فشار زیادی به شانه وارد میکنند، خودداری کنید.
دررفتگی استخوان شانه: عوارض و پیامدهای احتمالی
دررفتگی استخوان شانه میتواند عوارض و پیامدهای زیر را به دنبال داشته باشد:
- آسیب به رباطها، تاندونها، و عضلات: دررفتگی شانه میتواند باعث کشیدگی یا پارگی رباطها، تاندونها، و عضلات اطراف شانه شود.
- آسیب به اعصاب: دررفتگی شانه میتواند به اعصاب شانه آسیب برساند و باعث بیحسی، گزگز، یا ضعف در بازو یا دست شود.
- آسیب به عروق خونی: دررفتگی شانه میتواند به عروق خونی شانه آسیب برساند و باعث خونریزی یا اختلال در جریان خون شود.
- شکستگی استخوان: در برخی موارد، دررفتگی شانه با شکستگی استخوان همراه است.
- دررفتگی مکرر: افرادی که یک بار دچار دررفتگی شانه شدهاند، بیشتر در معرض تکرار این آسیب هستند.
درد در استخوان شانه: آیا همیشه نشانه دررفتگی است؟
درد در استخوان شانه میتواند علل مختلفی داشته باشد، از جمله:
- دررفتگی شانه
- شکستگی استخوان
- آسیب به رباطها، تاندونها، یا عضلات
- آرتروز
- بورسیت
- تاندونیت
بنابراین، اگر درد در استخوان شانه دارید، حتماً به پزشک مراجعه کنید تا علت آن مشخص شود و درمان مناسب انجام شود.
ورزش دررفتگی شانه: بهبودی و تقویت
آیا ورزش میتواند به درمان دررفتگی شانه کمک کند؟
بله، ورزش دررفتگی شانه پس از بهبودی اولیه، میتواند به بازیابی دامنهی حرکتی، قدرت، و انعطاف پذیری شانه کمک کند و خطر دررفتگی مجدد را کاهش دهد. با این حال، مهم است که قبل از شروع هر گونه برنامهی ورزشی، با پزشک یا فیزیوتراپیست خود مشورت کنید.
درد در قسمت شانه: علل و راهکارها
درد در قسمت شانه میتواند دلایل متعددی داشته باشد، از جمله:
- دررفتگی مفصل شانه
- کشیدگی یا پارگی عضلات و تاندونها
- آرتروز
- بورسیت
- تاندونیت
- سندرم گیر افتادگی شانه
- آسیب به اعصاب
برای تشخیص علت درد شانه و درمان مناسب، حتماً به پزشک مراجعه کنید.
شکستگی گردن شانه: عوارض و درمان
شکستگی گردن شانه (humeral neck fracture) به شکستگی در قسمت بالایی استخوان بازو، نزدیک به مفصل شانه، گفته میشود. این شکستگی معمولاً در اثر زمین خوردن روی دست باز یا ضربه مستقیم به شانه اتفاق میافتد.
علائم شکستگی گردن شانه
- درد شدید در شانه
- تورم و کبودی در اطراف شانه
- محدودیت حرکت در شانه
- تغییر شکل ظاهری شانه
درمان شکستگی گردن شانه
درمان شکستگی گردن شانه بستگی به شدت و نوع شکستگی دارد. در شکستگیهای خفیف، ممکن است بیحرکتی با استفاده از آویز گردنی یا بانداژ کافی باشد. در شکستگیهای شدیدتر، ممکن است نیاز به جراحی باشد.
دررفتگیهای مفصل شانه: طبقهبندی و درمان
دررفتگیهای مفصل شانه بر اساس جهت دررفتگی به انواع مختلفی تقسیم میشوند:
- دررفتگی قدامی: در این نوع، سر استخوان بازو به سمت جلو از حفره گلنوئید خارج میشود.
- دررفتگی خلفی: در این نوع، سر استخوان بازو به سمت عقب از حفره گلنوئید خارج میشود.
- دررفتگی تحتانی: در این نوع، سر استخوان بازو به سمت پایین از حفره گلنوئید خارج میشود.
درمان دررفتگیهای مفصل شانه معمولاً شامل جا اندازی، بیحرکتی، و فیزیوتراپی است. در برخی موارد، ممکن است نیاز به جراحی باشد.

پرسشهای متداول در مورد دررفتگی مفصل شانه
آیا دررفتگی شانه خطرناک است؟
بله، دررفتگی شانه یک عارضهی جدی است که در صورت عدم درمان، میتواند عوارض جدی مانند آسیب به اعصاب، عروق خونی، و غضروف مفصل شانه را به دنبال داشته باشد.
آیا دررفتگی شانه همیشه نیاز به جراحی دارد؟
خیر، اکثر موارد دررفتگی شانه با جا اندازی و بیحرکتی قابل درمان هستند. جراحی معمولاً در موارد نادر و در صورتی که دررفتگی شانه به طور مکرر اتفاق بیفتد یا با آسیب به بافتهای اطراف شانه همراه باشد، انجام میشود.
چه مدت طول میکشد تا دررفتگی شانه بهبود یابد؟
مدت زمان بهبودی دررفتگی شانه بستگی به شدت آسیب و سن بیمار دارد، اما معمولاً بین ۶ تا ۱۲ هفته است.
آیا میتوان از دررفتگی شانه پیشگیری کرد؟
بله، با تقویت عضلات شانه، گرم کردن قبل از ورزش، و استفاده از تجهیزات ایمنی میتوان خطر دررفتگی شانه را کاهش داد.
آیا دررفتگی شانه میتواند عود کند؟
بله، افرادی که یک بار دچار دررفتگی شانه شدهاند، بیشتر در معرض تکرار این آسیب هستند.
چه زمانی باید به پزشک مراجعه کنم؟
در صورت بروز هر گونه درد، تورم، یا محدودیت حرکت در شانه، حتماً به پزشک مراجعه کنید.
نتیجهگیری
دررفتگی مفصل شانه یک آسیب شایع است که میتواند باعث درد شدید و محدودیت حرکت شود. با این حال، با تشخیص و درمان به موقع، اکثر افراد میتوانند بهبودی کامل پیدا کنند و به فعالیتهای عادی خود بازگردند. اگر شما یا یکی از عزیزانتان دچار دررفتگی شانه شدهاید، حتماً به پزشک مراجعه کنید تا درمان مناسب را دریافت کنید.
گروه ارتوپدی سامان، بزرگترین وبسایت در مورد ارتوپدی، از همراهی شما تا پایان این مقاله سپاسگزار است. امیدواریم این اطلاعات برای شما مفید بوده باشد و به شما در درک بهتر دررفتگی مفصل شانه و راههای درمان آن کمک کرده باشد.
با تشکر از همراهی شما!
گروه ارتوپدی سامان صمیمانه از شما برای حمایتتان تا پایان این مقاله تشکر میکند.



